下载或打开 医联APP 查看完整评论
立即下载
打开APP
老年男性,主诉:进行性吞咽困难1月 现病史:患者1月前无明显诱因出现吞咽梗阻感,以进食粗糙、过热食物时明显,进食半流质症状不明显,10天前就诊外院行胃镜检查提示:食管癌,活检病理"鳞状细胞癌"。
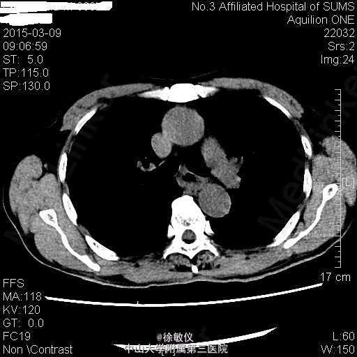
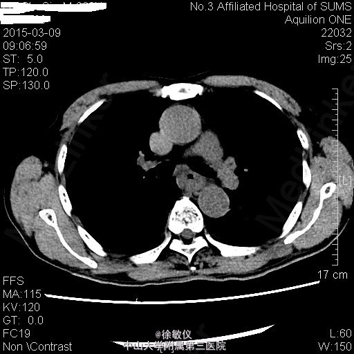
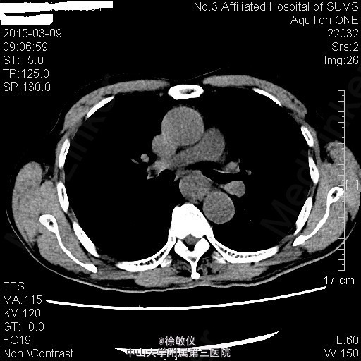
查体:无特殊。 胸部CT平扫+增强:中段食管癌,部分层面与胸主动脉分界欠清;纵隔多发小淋巴结。



诊断:食管恶性肿瘤。 处理:于2015年3月13日予“艾素120mg+鲁贝40mg*3d”方案行第1次化疗,同时予升白、护肝、营养心肌、水化等对症处理,患者间中诉有恶心、乏力等不适,予对症处理,症状可缓解。