打开应用

后牙根管治疗后纤维桩+树脂充填

张医师   空军军医大学口腔医学院

主诉 病史

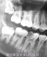
男,16岁,46因牙龈息肉就诊。

查体 辅查

46牙牙龈息肉

诊断 处理

局麻下牙龈息肉切除及开髓去腐,后牙根管治疗后纤维桩+树脂充填

随访 讨论

采用纤维桩+树脂充填还是桩冠修复我也纠结过,其实根据影像、牙齿的生长发育和实际情况,我个人认为这样的病例做桩冠修复也是合情合理。但患者的家长考虑小孩子尚小处于生长发育期倾向前者,何况成年后也可直接行冠修复!

发布于 15-04-24 15:27

7 个评论

发送