下载或打开 医联APP 查看完整评论
立即下载
打开APP
主诉:右足拇外翻畸形6年,加重伴足底疼痛4年。 现病史:患者6年前出现右足拇外翻畸形,疼痛较轻,未予处理。近4年来,患者畸形及疼痛逐渐加重,右足第1、2趾负重时疼痛,保守治疗无效,来我院门诊就诊,以右足拇外翻畸形收治入院。患者自患病以来精神可,纳佳,二便正常,近期无明显消瘦。

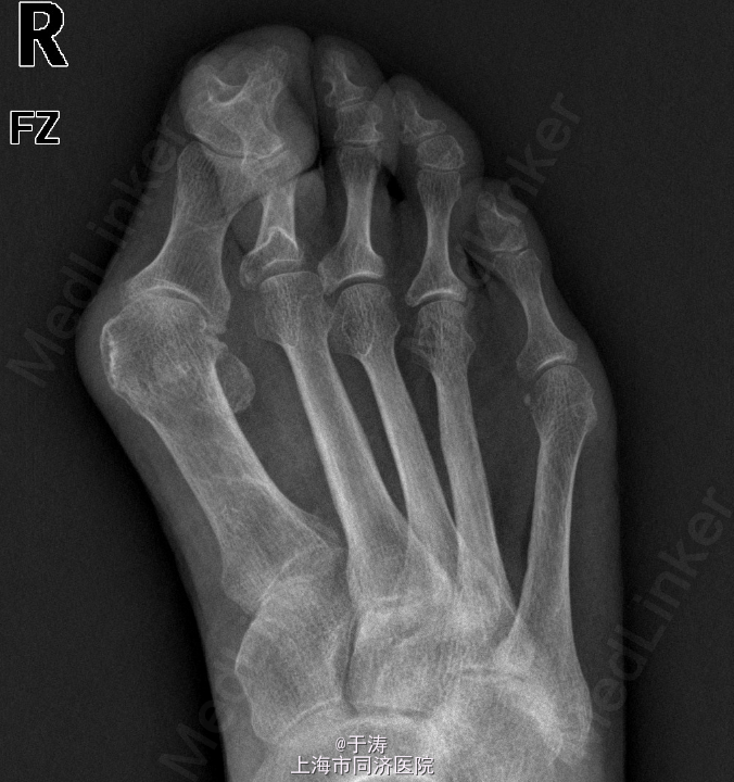
查体:右足拇趾呈外翻畸形,右足第1跖骨头内侧可及增生骨赘,无明显红肿,第2趾锤状趾,第2-3跖骨头下方可及胼胝体,压痛阳性,以第2跖骨头下方为甚,第1跖趾关节活动度可,未及明显僵硬,患肢末端血运、感觉尚可。 辅查:X线示第1跖趾关节对位不良,关节间隙狭窄,骨赘形成。

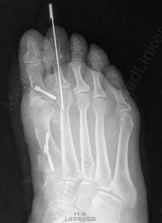
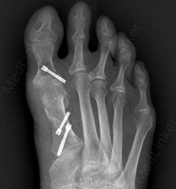
诊断:右足拇外翻,跖痛症,第2趾锤状趾 处理:拇外翻截骨矫形+软组织松解+Akin手术+第2趾近侧趾间关节成形

随访:术后6周,外形可,内固定在位。 讨论:拇外翻是足踝外科最常见畸形之一,生物力学机制复杂,手术方式众多,每个患者畸形不尽相同,需根据每个患者因地制宜。
