下载或打开 医联APP 查看完整评论
立即下载
打开APP
患者为76岁男性。 主诉:大便习惯改变伴肛门排气排便减少。 肠镜:距肛门7cm肿物,占肠腔全周。病理:腺癌。
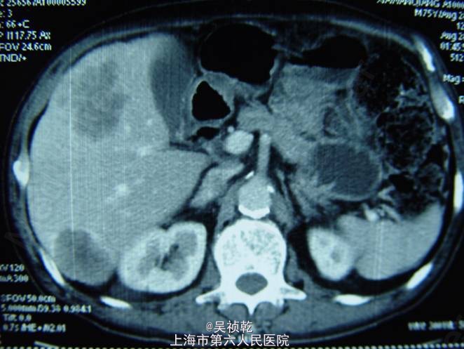
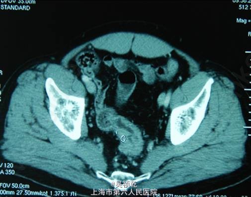
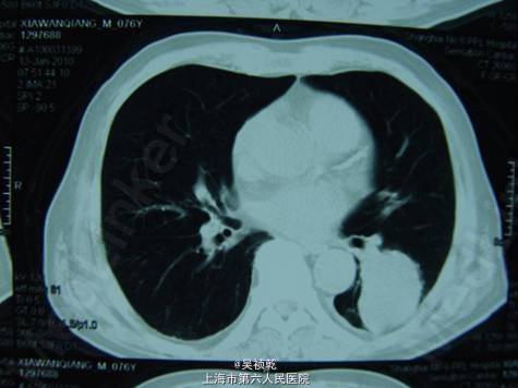
查体:浅表淋巴结(-)既往无重大疾病,体重下降5kg,肿瘤CEA>1500 ug/L。胸部CT :左下肺占位,考虑转移。上腹部CT :肝脏多发转移。盆腔CT :直肠肿物,伴不全肠梗阻。



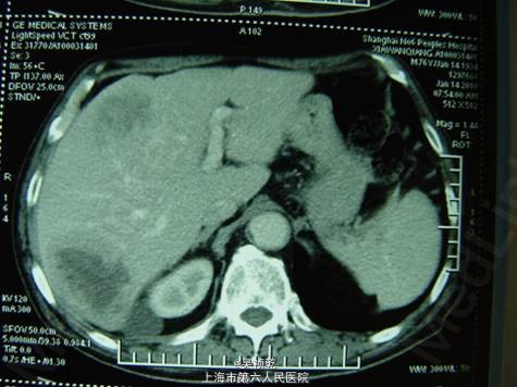
术前诊断:直肠癌伴肝肺转移(肝脏多发,肺单发) 行直肠癌TME手术:术中探查:肝脏多发转移结节,最大者4cm, 无腹水及腹盆腔种植结节; 直肠肿瘤距肛门8cm,侵犯浆膜外脂肪组织。 病理:溃疡型管状腺癌II级,4.5*3.5*2cm,侵至肠壁全层,达肠周脂肪组织,肠周淋巴结转移: 6/12,肠系膜动脉根部0/2淋巴管(+)神经周围(+)血管(+)。K-ras检测:野生型 术后行化疗方案为:FOLFOX 4+Cetuximab (q2wk * 6次) 后评估肿瘤部分缓解,6次化疗结束后改为XELOX / q3wk*6次,评估肿瘤无进展。 下图可见复查的影响学资料相比化疗前肿瘤有明显缩小。


患者目前术后8个月,经手术及术后化疗+靶向治疗后肿瘤无明显进展,由此带来了我们的疑问,目前摆在我们面前的治疗方案有: 1.继续XELOX+西妥昔单抗治疗。 2.手术切除肝转移或肺转移病灶 3.射频治疗 4.更换其他化疗方案 请大家讨论一下下一步治疗方案,谢谢。