下载或打开 医联APP 查看完整评论
立即下载
打开APP
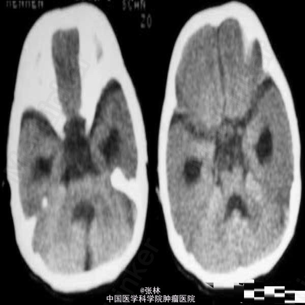
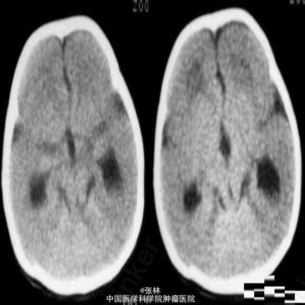
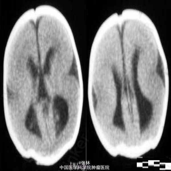
【临床病史】:患儿,F/0.5Y。癫痫,近一个月来频发。五官尚可,头颅大小与同龄儿相比稍小,智力低下(平时家人逗小孩时目光及动作迟缓)。 【影像表现】:显示双侧大脑半球皮层明显增厚、表面光滑、无脑回及脑沟,皮层下白质稀少。双侧外侧裂变浅、凹陷,整个双侧大脑半球呈“8”字形表现,脑室系统扩大。前纵裂增宽、增深,与第三脑室向连通。双侧侧脑室扩大、分离。 【影像诊断】:无脑回畸形伴胼胝体发育不良(Lissencephaly associated with Corpus Callosum dysplasia) 【诊断要点】:无脑回畸形伴胼胝体发育不良 【讨论】:无脑回畸形和/或巨脑回畸形:无脑回畸形指大脑表面光滑,无脑回结构;巨脑回畸形指大脑停留在原始阶段,脑回宽、扁。两者仅为畸形成度不同,可同时存在于脑的不同部位。前者多在顶枕部,后者多位于额部。镜下管前者大脑皮质结构异常,皮质分层不完全或不分层,常见不成熟的神经细胞。后者皮层保留了原始皮层的4曾神经细胞结构,神经细胞分化不成熟。白质中常发现异位的神经细胞,有时呈结节状。 [临床表现] 无脑回畸形患儿在新生儿期常有小头畸形和轻微面部异常,以后表现出智力落后。完全性无脑回畸形者大多在2岁前死亡。巨脑回存活者常有智力低下和癫痫。 [CT表现] 无脑回畸形和/或巨脑回畸形,前者主要表现为脑表面光滑,脑回、脑沟消失,皮层增厚,白质减少。后者主要表现为侧裂变浅、增宽,脑回增宽,皮质增后,内表面光滑,白质减少,患侧脑室系统扩大。此外,无脑回畸形两侧裂变浅,呈“8”字形表现。




