下载或打开 医联APP 查看完整评论
立即下载
打开APP
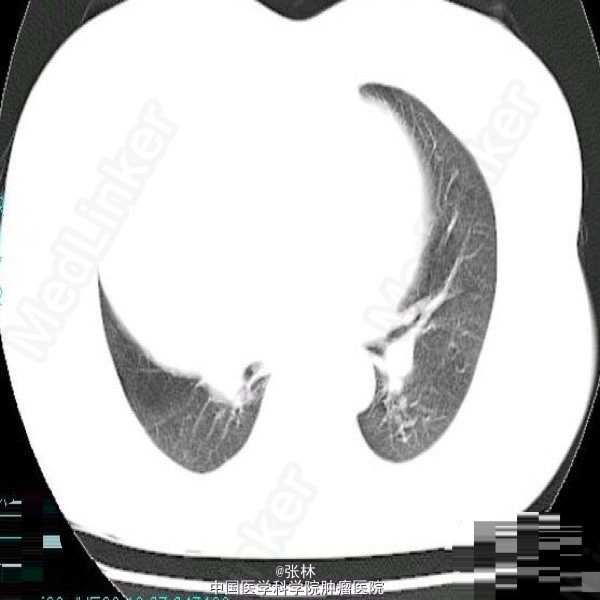
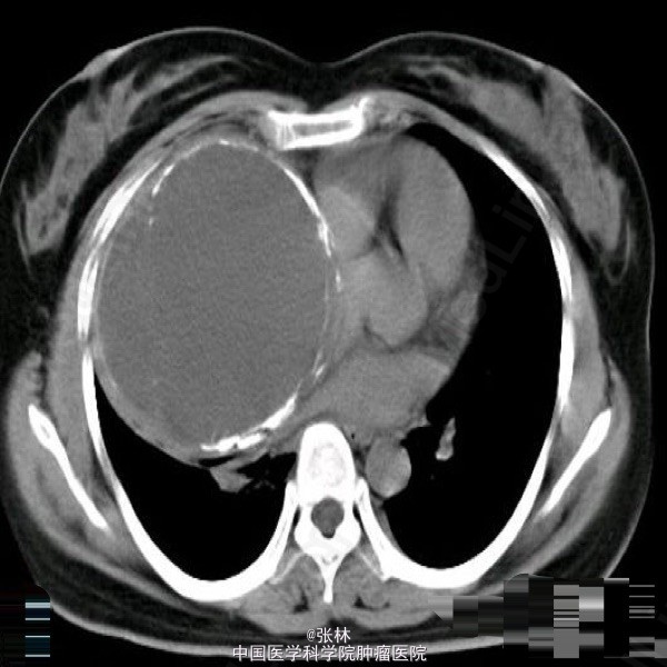
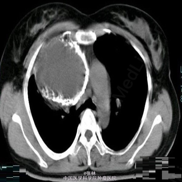
【临床病史】:患者,女性,37岁,运动后心慌、胸闷三年。右胸部呼吸音消失。叩诊呈实音。X线:右侧胸腔占位。 【影像表现】:右侧胸腔巨大囊性低密度影,大小约为109mmx118mm,边界清晰,边缘可见蛋壳样钙化,密度不均匀,CT值-35-420HU。 【影像诊断】:纵隔畸胎瘤 【最后诊断】:病理诊断:前纵隔囊性成熟性畸胎瘤。 【讨论】:畸胎类肿瘤分为囊性和实性两类,囊性畸胎瘤即皮样囊肿,多发生在前纵隔,CT为诊断该肿瘤最佳的影像学方法,可很好地显示肿块内的钙化、骨骼及脂肪成分。



