下载或打开 医联APP 查看完整评论
立即下载
打开APP
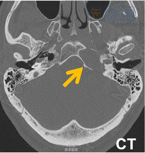
50岁男性,长期左侧耳聋。
CT检查多表现为颞骨岩尖部出现边界清楚的囊性膨胀性病变(图A箭头)。由于包块内血液分解产物和蛋白质碎片的积累,其在MRI检查时,多表现为T1和T2加权图像上的高信号影(图B箭头)。在MRI的T2加权图像上,可见到包块的周围有明显的低信号影包绕。而这主要是由含铁血黄素在局部的沉积所致(图C箭头)。此外,包块多无扩散受限(图D箭头)。




该疾病主要的鉴别诊断可能包括含水较多的粘液囊肿,及伴有血栓形成的颈内动脉动脉瘤等。