打开应用

一例上颌窦外提升病例

魏医师   西安市华山中心医院

主诉 病史

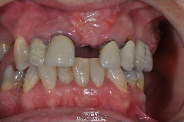
患者,女,38岁。全口多颗牙缺失。

查体 辅查

诊断 处理

诊断:牙列缺损 治疗计划:上颌窦外提升术。(每一颗种植体植入前,都进行了精确的共振频率分析作为种植体稳定系数的评价。)

随访 讨论

上颌窦提升术已经成为一个世人公认有效弥补骨量减少患者的方法。自1970年以来,各种有助于骨再生的临床研究被开展,研究方面多半是关于上颌窦提升方面和囊腔填充两个方面的。本例就采用了上颌窦外提升法顺利为患者植入种植体。

发布于 15-04-13 23:02

0 个评论

暂无评论
发送