打开应用

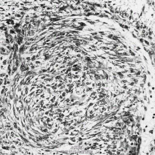
子宫血管周围上皮细胞肿瘤

刘医师   江阴市人民医院

主诉 病史

32岁女性,G0P0,下腹和左腿疼痛11月余

查体 辅查

MRI提示子宫底5cm浆膜下肿块。

诊断 处理

行手术治疗,术中可见有弹性的子宫肿块,与左侧阔韧带相邻。 切除肿块,无其余异常。

随访 讨论

预后良好 doi:10.1097/PGP.0000130448.30412.79

发布于 15-04-13 21:34

6 个评论

发送