打开应用

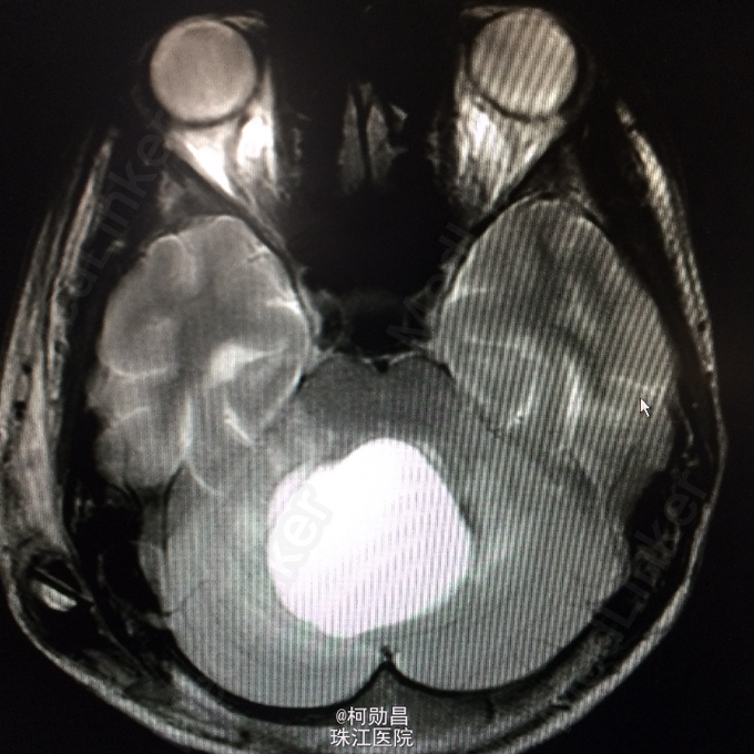
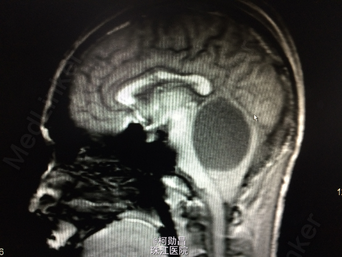
较为罕见肿瘤:颅内血管母细胞瘤

谢医师   渭南市华州区人民医院
颅内血管母细胞瘤 肿瘤

主诉 病史

患者17岁男性,因“发现后颅窝占位1周”入院, 于1月前无明显诱因出现头晕、头痛,伴呕吐、肢体抽搐及行走不稳,无肢体乏力、意识障碍、视物模糊等,间至当地医院治疗,症状可缓解,1周前出现上述症状加重,遂至当地医院治疗,行头颅CT提示:后颅窝占位、梗阻性脑积水。后入我院,行手术治疗。病理结果提示:血管母细胞瘤

发布于 15-04-12 08:33

8 个评论

发送