下载或打开 医联APP 查看完整评论
立即下载
打开APP
中年女性,因“直肠癌术后9月,发现腹壁包块8月”就诊入院,9月前患者因“便血1月”入院,完善检查后诊断直肠低分化腺癌,行开腹“根治性直肠癌切除术”,术后病理诊断T3N0M0,术后定期门诊随访。8月前发现腹部手术切口包块膨出,大小约9*10cm,无红肿疼痛,无腹痛、腹胀,无恶心、呕吐,站立时明显,平躺时可自行消失,现包块逐渐增大,门诊以"腹壁切口疝"收入我科。
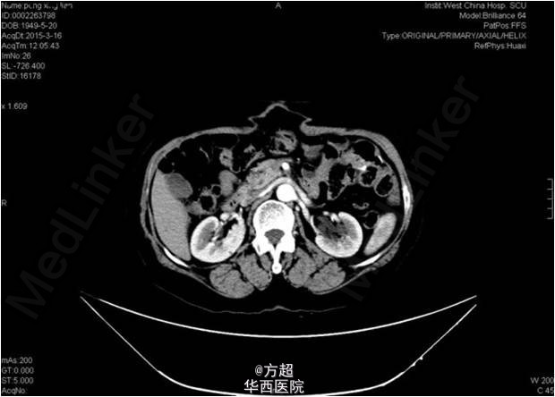
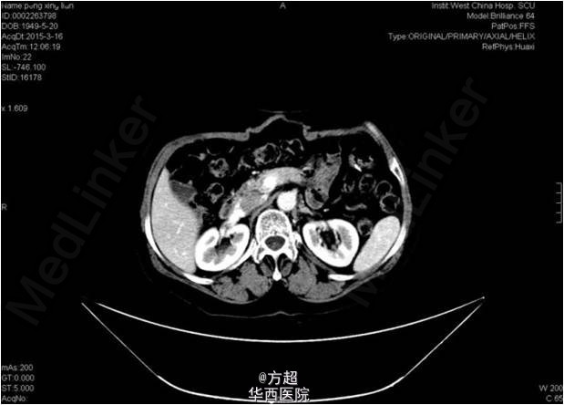
入院查体:肿瘤相关指标未见明显异常;腹壁原手术切口处活动性包块,大小12*11cm,质软,可触及肠管;腹部CT可见腹壁缺损,大小约8cm,腹腔脏器未见异常,未见直肠癌复发及转移征象。


考虑诊断:腹壁切口疝;直肠癌术后(T3N0M0);完善术前准备后行“疝内容物还纳+无张力修补术”
患者术后恢复可,目前门诊肿瘤相关常规随访中。腹壁切口疝诊断多通过病史及影像学检查明确,患者状况允许时多采取无张力修补术辅以其他相关治疗。