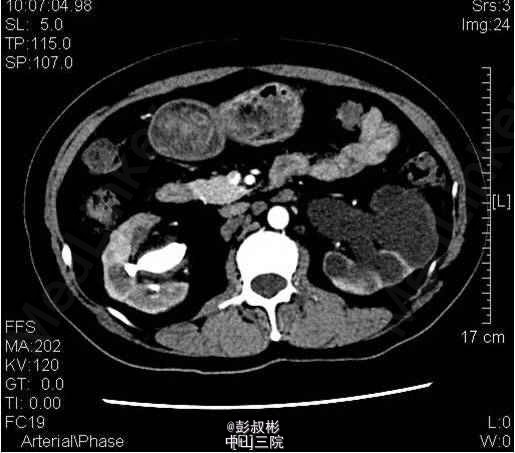
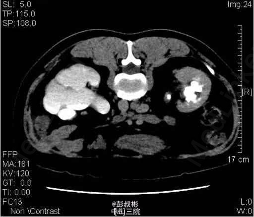
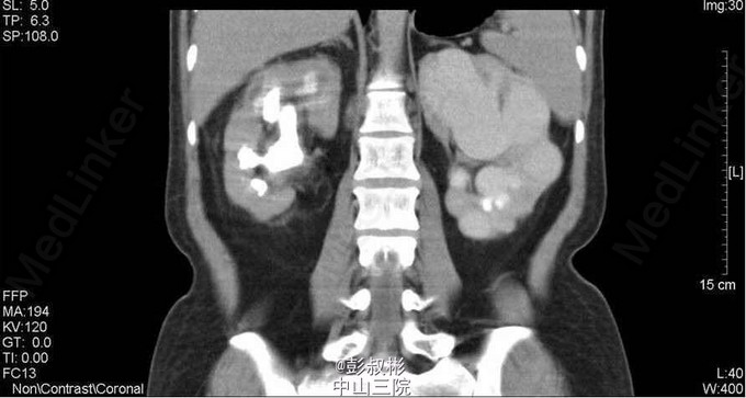
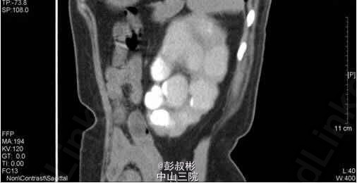
1、因“反复下腰部胀痛伴发热2月,加重10天” 入院。入院前最高体温39.5℃ ,外院检查尿隐血及尿白细胞3+,进一步行泌尿系B超显示双肾及左输尿管下段结石,左肾重度积液 。 2、既往史: 10年前因肾结石行体外冲击波碎石术,自诉术后恢复良好。 3、辅助检查:1) 血常规(抗炎后)、血生化(补钾后)、肝功、凝血、术前八项、胸片及心电图未见明显异常; 2) 尿常规:12.9 :尿液白细胞+++ 尿液红细胞++ 左肾造瘘液白细胞++ 左肾造瘘液红细胞++ 3) 真菌培养:无真菌生长 4) 肾功能:12.9: 肌酐5.68 mmol/L尿素氮: 186 nmol/L 5) 核素肾动态显像+GFR双血浆测定 1.右肾灌注、功能中度受损,右上尿路慢性梗阻。 2.左肾灌注、功能中度受损,左上尿路机械性梗阻。 灌注相:双肾于腹主动脉显影后2秒开始显影,放射性灌注明显减低(右肾明显低于左肾)。灌注曲线分析:双肾灌注峰明显减低。 功能相:右肾影稍增大,放射性摄取明显减低,放射性分布不均匀,可见多发放射性分布稀疏缺损区,放射性排泄缓慢。左肾增大,放射性摄取减低,放射性分布不均匀,可见多发放射性分布稀疏缺损区,放射性排泄缓慢,左肾盏见明显放射性滞留。半小时内膀胱可见放射性积聚。 肾图:右肾a段降低,b、c段融合为低水平延长型肾图。左肾a段降低,b、c段融合为持续上升型肾图。双血浆法肾小球滤过率(GFR)左肾为19.7ml/min,右肾GFR为17.9ml/min。 6) 双肾CTU平扫+增强螺旋扫描 1、左肾多发结石、重度积液、肾功能减退,左输尿管膀胱入口处结石,左侧输尿管炎症; 2、右肾多发结石、轻度积液,右肾功能减退,右肾盂及输尿管炎症。 4、诊断:双肾积脓 右肾铸形结石 左肾多发结石 左输尿管下段结石碎石术后 双肾功能减退 5、入院后处理:予以“舒普深” 3.0 Bid 抗感染,12-5 行“B超引导下经皮左肾穿刺造瘘术”,每日引流出约1500ml脓液。肾功能改善后于12-9行“左侧输尿管镜下钬激光碎石取石术”,术程顺利,术后予以舒普深3.0 Bid抗感染,体温正常。昨日下午行“B超引导下经皮右肾穿刺造瘘术”。







