打开应用

脑室内脑膜瘤影像资料分享

管医师   中国人民解放军第四军医大学西京医院
脑膜瘤

主诉 病史

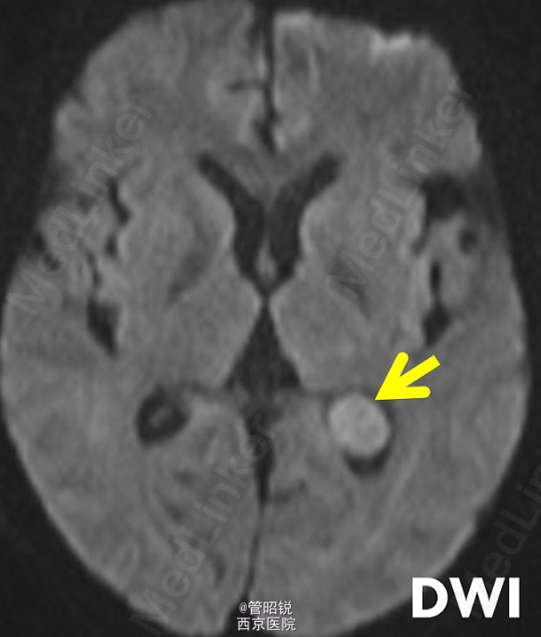
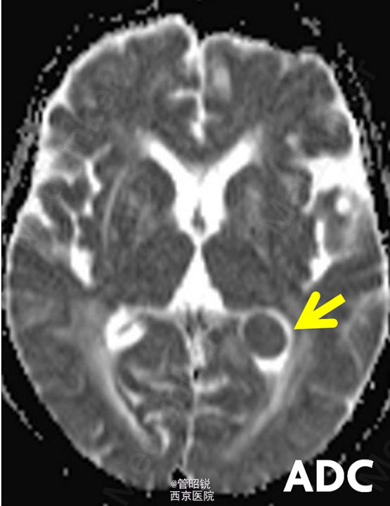
脑室内脑膜瘤占脑膜瘤的0.5%-3%,主要分布在三角区。常发生于中老年女性。原始瘤细胞被认为起源于蛛网膜帽细胞,常常表现为交感神经异常的相关症状,或者症状多变。经典的影像学结果包括CT高密度团块、T2孤立的低信号影、T1WI强化后显示均匀增强。需同转移瘤、淋巴瘤和囊虫病相鉴别。来源于AJNR

发布于 15-04-04 22:57

0 个评论

暂无评论
发送