下载或打开 医联APP 查看完整评论
立即下载
打开APP
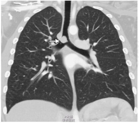
10岁小女孩,因发作性喘息,呼吸困难,进行性活动耐量下降9月就诊。既往体健。体格检查:双肺呼气相中度哮鸣音。初步诊断为哮喘,予以常规吸入支气管舒张剂、糖皮质激素,孟鲁斯特和口服糖皮质激素等治疗。病人自诉病情缓解,但上述症状仍持续存在。进一步评估患者肺功能,发现其存在呼气相梗阻,后行纤支镜发现一血管团几乎完全阻塞(大于90%)远端支气管,CT血管造影显示此肿物未侵出气管。内镜下激光切除肿物,病检结果为炎性细胞增生形成的炎性假瘤。术后一月,患者喘息、呼吸困难等症状完全消失,肺功能试验正常。尽管炎性假瘤很少造成哮喘样的喘息,不过当一线治疗没有反应的时候,就提示我们要进行进一步检查了。


