下载或打开 医联APP 查看完整评论
立即下载
打开APP
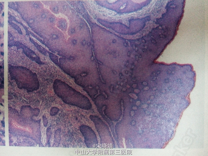
61岁男性,因“龟头赘生物20年,破溃3年”入院。20年前患者无明显诱因出现龟头处绿豆大小结节,搔抓后出现红肿、化脓,未予特殊处理,皮疹反复化脓,并逐渐增大累及包皮。3年前皮损部位开始出现破溃、隐痛,于外院行“包皮部分切除术”,术后病理考虑为良性中午。半年前皮疹范围开始扩大,疼痛加重,于外地医院行病历活检提示乳头状瘤。查体:心肺腹体查无特殊。龟头处可见2处类圆形溃疡,分别为2*2cm及0.5*0.5cm大小,边界清,表面粗糙,伴角化性鳞屑,呈云母状,质硬,有压痛。包皮系带处可见1长约1cm的手术疤痕。全身浅表淋巴结未触及。入院诊断:皮肤肿物查因:鳞状细胞乳头状瘤?鳞状细胞癌?入院后完善相关检查,传染病筛查等未见异常后行龟头肿物切除,未缝合,待病理结果行下一步治疗。术后病理如图。最后诊断:假上皮瘤样角化性和云母性龟头炎。术口二期缝合。术后3天术口无渗血、化脓,患者一般情况可,予出院。





