打开应用

闭合穿针复位腓骨在开放性骨折中应用和意义

周医师   四川大学华西医院
骨折

主诉 病史

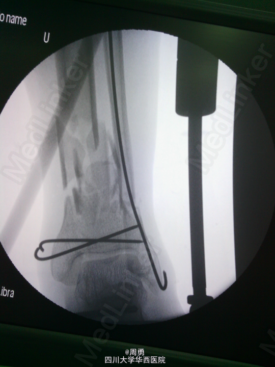
某些腓骨骨折常无需处理,但在开放性骨折一期处理创面同时,为了达到恢复肢体长度、条件允许情况下最大可能复位骨折、简化二期手术目的,某些时候复位腓骨并闭合穿克氏针对骨折复位和固定会有一定帮助,选几年前2个博士住院总期间X片示意,欢迎大家交流。

发布于 15-04-01 10:35

8 个评论

发送