下载或打开 医联APP 查看完整评论
立即下载
打开APP
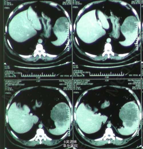
患者男,40岁,常规体检发现脾脏占位入院。主诉无特殊,无消化道症状,无贫;查体无特殊。CT表现:平扫为边界不清的低密度影,增强扫描各期均无强化。大体标本:脾脏腹侧可见一结节状肿块,周边红色,其内可见白色瘢痕。术后病理:脾淋巴管瘤。治疗:手术切脾。 拓展:淋巴管瘤可以发生在任何有淋巴管的地方,但是长在脾脏比较罕见。由于罕见,诊断困难。虽然它是良性病变,但是有病理性脾破裂的风险,最好切除,尤其是伴有临床症状的时候。



