下载或打开 医联APP 查看完整评论
立即下载
打开APP
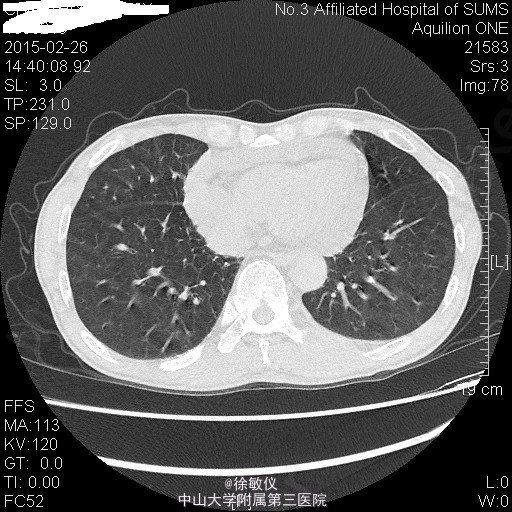
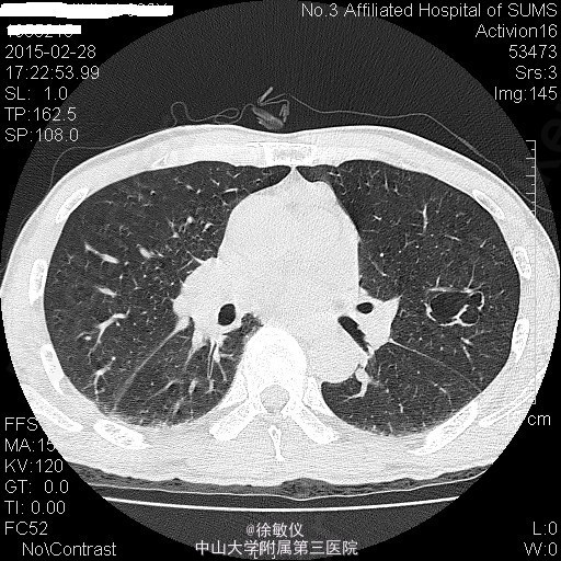
老年男性,主诉:咳嗽、咳痰2月余,头痛、纳差伴四肢乏力5天。 现病史患者2月余前无明显诱因出现咳嗽、咳痰,呈连声咳,咳白色稀薄痰,未予特殊治疗。5天前无明显诱因出现头痛,为右侧颞部持续性隐痛,尚可入睡,伴有纳差,四肢乏力。遂来我院门诊,查胸部CT示:1、左肺上叶尖后段空洞性病变;纵隔多发肿大淋巴结;中~大量心包积液。2、右肺中叶及双肺下叶少许慢性炎症。遂收入院。 查体:生命体征平稳,查体无特殊。 入院后予行心包穿刺抽液,心包积液检查:浆膜腔液总蛋白47.7g/L,乳酸脱氢酶306U/L,浆膜腔积液葡萄糖5.76mmol/L,白细胞计数2150X10E6,颜色黄色,粘蛋白定性试验+/-,红细胞计数1570X10E6,透明度微混,凝固物有凝块,淋巴细胞0.88,中性粒细胞0.12。血清 癌胚抗原>100ug/L。 血清乳酸脱氢酶:358U/L。 暂予头孢美唑钠(悉畅)注射剂2g Q12h,左氧氟沙星氯化钠(可乐必妥)注射液0.6g Qd抗感染治疗。 因患者诉头痛明显,行头颅MR提示:1右侧蝶骨嵴肿物,考虑脑膜瘤;双侧小脑半球及小脑蚓部肿物并双侧小脑半球脑沟脑回样强化,考虑转移瘤并脑膜转移,梗阻性脑积水。 诊断:1、心包积液 恶性肿瘤转移 2、高血压病 2级 高危 3、头部恶性肿瘤 颅内转移 4、脑膜瘤 5、肺部感染 患者肿瘤情况不明,出院后第二天因脑疝死亡。



