下载或打开 医联APP 查看完整评论
立即下载
打开APP
打开应用
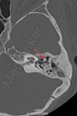
伴先天性耳畸形的范可尼贫血患者 1 例
温医师
重庆市合川区妇幼保健院
先天性耳畸形
主诉 病史
患者,女性,25 岁,范可尼贫血伴听力丧失。
发布于 15-03-26 11:11
医联推荐你看
先天性手畸形
先天性耳畸形
左耳先天性小耳畸形
共
3
个评论
查看更多评论
发送
0