下载或打开 医联APP 查看完整评论
立即下载
打开APP
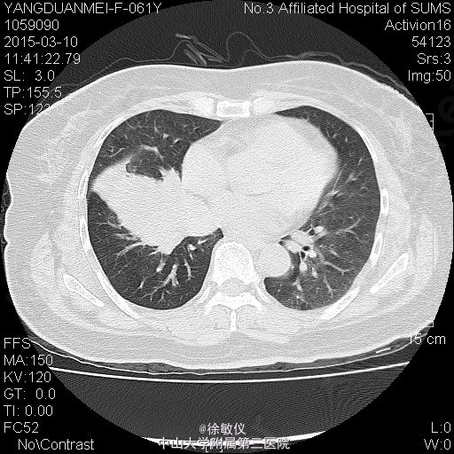
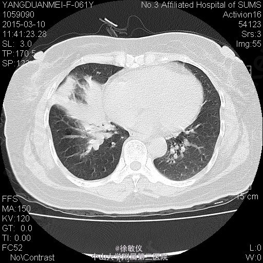
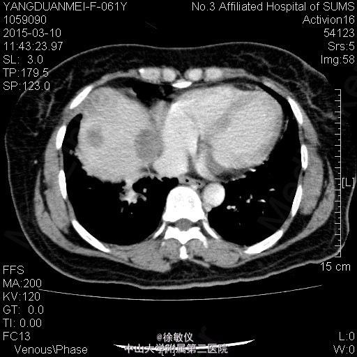
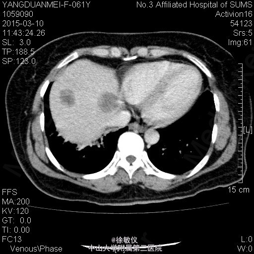
老年女性,主诉:咳嗽2月,胸部CT发现中央型肺癌1天。 现病史:患者2月前无明显诱因出现咳嗽伴胸闷气促,伴少量白色粘液痰,无痰中带血、咯血等不适,当时自行服用“消炎药”治疗(具体不详),2月来症状逐渐加重,至当地医院就诊,查胸部CT提示:右侧中央型肺癌并纵隔淋巴结转移,肝脏考虑转移灶。现为求进一步治疗入院。近期体重减轻2斤。 查体:生命体征平稳,全身浅表淋巴结未扪及肿大。心肺腹查体无特殊。 胸部CT:1、右下中央型肺癌,并右肺门及纵隔多发淋巴结转移;右中间段支气管、中下叶支气管狭窄、闭塞,右肺阻塞性炎症,考虑右侧肺动脉、右下肺静脉受侵。2、肝S4、S8转移瘤。 诊断: 右侧中央型肺癌并肝转移。



