打开应用

甲状腺癌

周医师   中国医学科学院肿瘤医院

主诉 病史

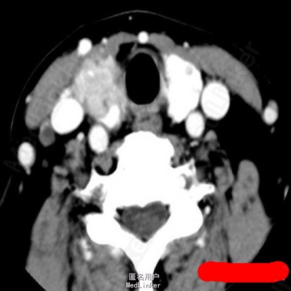
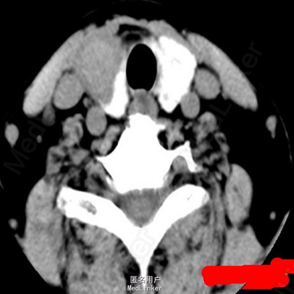
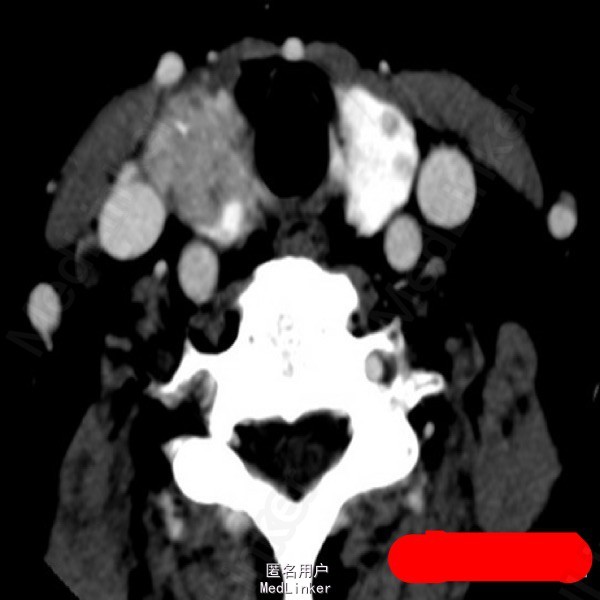
中年女性,发现颈部肿物半年,轻度吞咽困难1月。超声提示颈部可见甲状腺低回声结节,内见点状强回声。术后病理:甲状腺乳头状癌。问题:想问问大家对于甲状腺癌术后碘131治疗怎么看?

发布于 15-03-23 13:02

0 个评论

暂无评论
发送