打开应用

call for help :tumor or TB?

吴医师   中国医学科学院阜外医院

主诉 病史

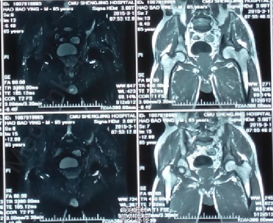
患者老年男性,主因“左髋部疼痛不适2年余”入院;查体:左侧腹股沟压痛+;活动度受限;4字试验+,托马斯征+;辅助检查:CT示左侧髋臼骨多发骨质破坏,累及周围软组织;全身骨显像示左髋臼窝核素浓聚灶;MIR描述如图。T-spot阳性!现在对于诊断基本持两种意见:因为患者病灶累及软组织,MRI上髂腰肌可见高信号,而且T-spot阳性,考虑TB。另外一种观点认为:病人除了T-spot并无其他TB征象,而且如果是TB的话,现在早就应该形成冷脓肿和窦道了,再者从MRI上来看,病灶呈膨胀性生长,边界清楚,所以考虑骨肿瘤可能性。what do you think?

发布于 15-03-20 16:16

0 个评论

暂无评论
发送