打开应用

表现为腰背酸痛的多发性骨髓瘤

王医师   中国人民解放军第四军医大学西京医院
多发性骨髓瘤 骨髓瘤 多发性骨髓瘤

主诉 病史

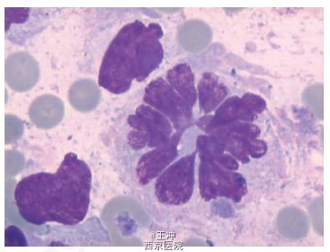
患者男性,62岁。因反复腰背酸痛2个月于2012年11月5日人院。 人院查体:体温37T,脉搏80次/min,呼吸20次/min,贫血貌,肝脾肋缘下未触及,神经系统未检出阳性体征。 血常规示:白细胞计数(WBC)2.3x109/L,血红蛋白(Hb)80g/L,红细胞计数(RBC)2.44x1012/L,血小板计数(PlO68x109/L。 外周血细胞分类:中性细胞0.70,淋巴细胞0.24,单核细胞0.06。 免疫球蛋白定量:IgG26.2g/L,IgA0.14g/L,IgM0.23g/L,k轻链31.20g/L,X轻链0.43g/L。 血生物化学检查:总蛋白86.7g/L,清蛋白31.3g/L,乳酸脱氢酶1221U/L,尿素25.60mmol/L,肌野341.7(xmol/L,尿酸1034.9μmol/L,血钙3.25mmol/L,血憐2.25mmol/L,β微球蛋白31.44mg/L。血清蛋白电泳见7-M蛋白,占35.6%。红细胞沉降率110mm/h,尿本周蛋白阴性。 骨髓象:增生明显活跃,异常浆细胞占0.95,该类细胞胞体大,外形不规则,胞质较丰富,灰蓝色或深蓝色,核形极不规则,易见扭曲折叠及花瓣形核,多者可分十数叶,核染色质较粗&,核仁不清晰,2~4个不等(图1)。 染色体检查:36-44,-X,-Y,1q+,2p+,3q+,7p-,11p-,+m1-m14。流式细胞术检测:该细胞群约占48.0%,CD5661.1%,CD3885.0%,HLA-DR24.3%,CD13898.8%。 影像学检查:胸椎正位片提示T8~T12陈旧性压缩性骨折,CT提示T9-L2椎体骨折破坏,其内充满软组织密度影,压迫脊髓,部分椎弓根骨折呈溶骨性破坏。全身骨扫描提示两侧肋骨及脊柱多发性骨代谢活跃灶。 经临床及实验室检查确诊多发性骨髓瘤(MM),给予VAD方案化疗:长春新碱每天0.5mg,多柔比星每天10mg/m2,地塞米松磷酸钠,静脉滴注第1天至第14天、第9天至第12天、第17天至第20天,1个疗程。化疗结束后,复查血常规、肝肾功能及免疫功能,均较前好转,目前患者病情平稳。

发布于 15-03-19 17:40

6 个评论

发送