打开应用

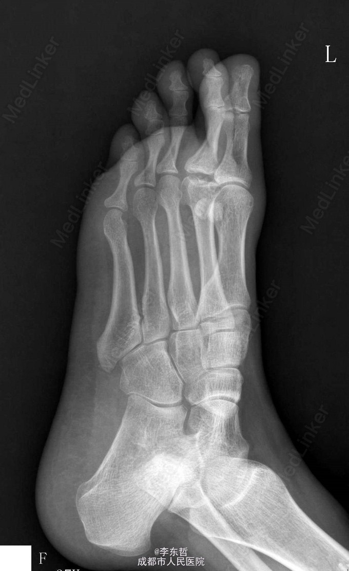
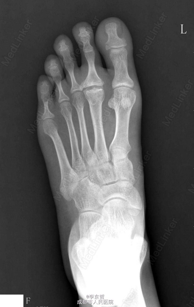
第二跖骨坏死

李医师   成都市武侯区第一人民医院
骨坏死

主诉 病史

患者青年女性,因脚底疼痛2月加重3天来院就诊,入院后x线片出现“骨端烟头征”:软骨坏死的X线征之一,正常关节面变模糊,表面参差不齐,如燃烧的烟头样;提示第二跖骨头坏死迹象。

发布于 15-03-14 21:39

2 个评论

发送