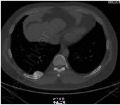
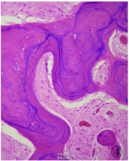
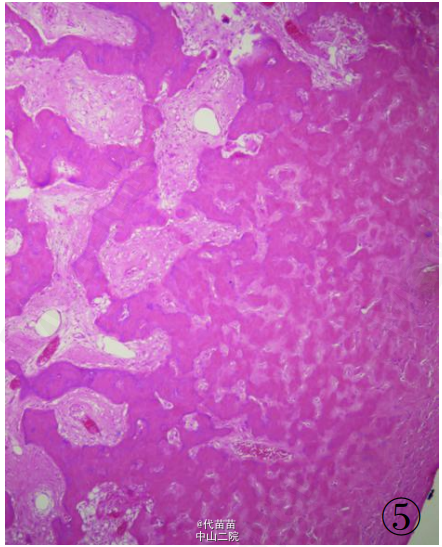
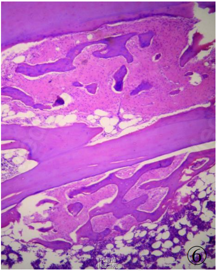
患者男性,40 岁。因体检发现肋骨肿块入院。患者无其它特殊症状,血生化检查基本正常,无放、 化疗史及Paget病史。CT检查示右侧第九后肋骨旁一团块状混杂高密度影,肿块边界尚清,位于肋骨表面,非髓内生长,向胸腔隆起,位于壁层胸膜与肋骨之间,与骨皮质有蒂相连(图 1、2)。临床考虑良性病变骨软骨瘤可能,遂行手术切除一段肋骨及表面肿块,送病理检查。 病理检查:眼观:送检肋骨1段,长9cm,宽2cm,骨表面隆起卵圆形肿块,4 cmX2 cmX2 cm 大小,质硬,切面灰白色,实性,与骨皮质有蒂相连,蒂部骨皮质浸润(图 3)。镜检:肿瘤由大量狭长且具平行排列倾向的高分化骨小梁构成,以编织骨为主,部分骨小梁已成熟为板层骨,大部分骨小梁周围缺乏成骨细胞被覆,部分区域已逐渐移行为有成骨细胞被覆的板层骨,瘤骨内可见骨重建过程中形成的粘合线,即所谓“Paget” 现象(图 4)。骨小梁间充满低细胞性纤维组织间质,梭形成纤维细胞形态温和,细胞核卵圆形,缺乏不典型性,部分肿瘤性骨小梁之间有脂肪髓形成,但无造血组织。肿瘤表面的骨样组织较幼稚,深部为相对成熟的粗大编织骨和板层骨(图 5),蒂部皮质和近皮质的髓腔内有局灶性肿瘤浸润(图 6)。肿瘤内含多灶性高分化软骨,软骨细胞排列紊 乱无极性,由于部分软骨位于肿瘤表面,故影像学和病理学类似骨软骨瘤改变。病理诊断:右侧第九后肋骨旁骨肉瘤。 骨旁骨肉瘤临床表现为骨表面缓慢生长的无痛性肿块,质硬,病程较长,可达数年。骨旁骨肉瘤预后较好,其5 年生存率达91% ,最佳治疗方案是大块肿瘤完整切除,切除范围应包括肿瘤周围的正常组织和软组织内的卫星病灶。若不完整切除则很容易复发。复发性肿瘤易发生去分化改变,称去分化骨旁骨肉瘤,其预后类普通型骨肉瘤,治疗原则和普通高级别骨肉瘤一致。 骨旁骨肉瘤可以说是骨肉瘤中的“异类” ,因为其不仅分化好,类似良性骨病,而且在骨表面生长,在病理诊断时须注意与以下三种良性骨病鉴别:(1)纤维结构不良。本例虽然部分肿瘤性编织骨呈不连续的字母状结构,在编织骨之间为高分化纤维,类似于纤维结构不良,但纤维结构不良是一 种纤维化生骨,伴有骨的成熟障碍,不会成熟为板层骨,也不会出现板层结构瘤骨在改建塑型过程中形成“Paget”现象。本例镜下见瘤骨比较成熟、 粗大,大部分相互连接成网,并有平行排列倾向,肿瘤表面骨样组织幼稚,深部较为成熟,并形成板层骨,成熟瘤骨内能见到“ 孕葬早藻贼” 现象。此外纤维结构不良均在髓内生长,不会在骨表面外生性生长,故影像学改变即可排除纤维结构不良。(2)骨软骨瘤。本例肿瘤内含有少量高分化软骨组织,由于部分软骨位于肿瘤表面,需与骨软骨瘤鉴别。骨软骨瘤蒂部的骨皮质常有缺损,肿瘤内的松质骨与宿主骨的正常松质骨相连续,二者相互融合。而骨旁骨肉瘤常环绕宿主骨在骨膜外生长,与髓腔不相通,肿瘤与骨密质之间有狭长的透亮带,即残存的骨膜;骨软骨瘤软骨帽下是由软骨化骨形成的松质骨小梁,骨小梁间隙内充满正常的造血性红髓或脂肪性黄髓,而缺乏骨旁骨肉瘤的成纤维细胞成分。同时骨旁骨肉瘤内的软骨组织、 结构和分布随意紊乱,缺乏骨软骨瘤明显的分层结构。(3)骨旁骨瘤。大多位于颅骨表面或副鼻窦内,分化成熟的骨小梁之间为脂肪细胞和小血管,缺乏纤维母细胞性间质。





