打开应用

肝血管平滑肌脂肪瘤

吴医师   中国医学科学院阜外医院
脂肪瘤

主诉 病史

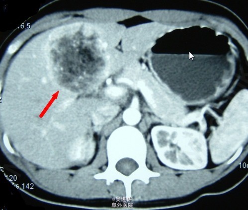
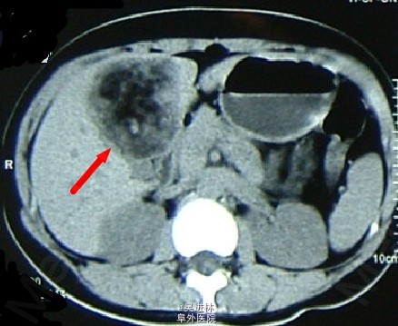
肝血管平滑肌脂肪瘤是一种含脂肪组织的肝脏良性肿瘤,包括平滑肌、血管及成熟型脂肪细胞三种组织学成分。临床无明显症状。据搜狗百科介绍,到目前为止世界文献共报道29例!!本例患者男,45岁,为体检发现肝区占位就诊。

发布于 15-03-13 17:18

3 个评论

发送