打开应用

接着上一个,再来一个结石病例

彭医师   中山大学附属第三医院

主诉 病史

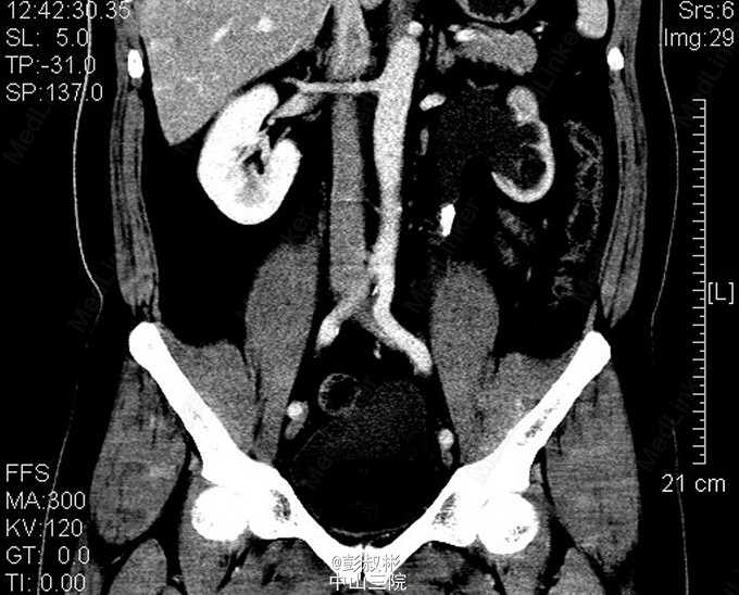
男性,37岁,体检发现左输尿管结石2月。泌尿系彩超:左输尿管上段结石并左肾积液。腹部平片:左输尿管上段结石。腹部CT:左输尿管上段结石,大小约18×12×9mm,左输尿管上段及左肾盂积水,左肾功能减退。

发布于 15-03-10 23:32

8 个评论

发送