下载或打开 医联APP 查看完整评论
立即下载
打开APP
打开应用
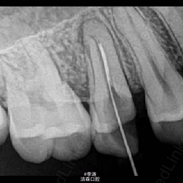
过台阶根管再治疗一例
李医师
瑞泰口腔医院(成都)
主诉 病史
15牙因根管治疗后牙折裂,行根管再治疗
发布于 15-03-09 13:59
医联推荐你看
根管再治疗
根管预备形成台阶1例
年轻恒牙;根管再治疗;消除台阶
共
1
个评论
查看更多评论
发送
0