打开应用

28岁的COPD,你遇到过吗?

宋医师   四川大学华西医院

主诉 病史

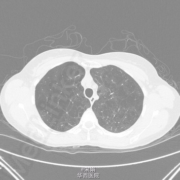
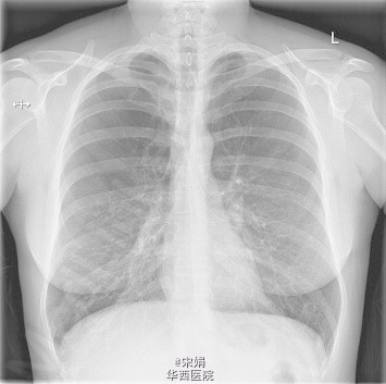
COPD一般很少在年轻人中发生,几乎不在40岁以下的人群中诊断。此患者是 一个28岁的年轻女性,咳嗽、呼吸困难进行性加重2-3年,伴喘息、胸闷、夜间咳嗽,活动耐量低(MRC4分)。12年吸烟史,每天20支(!!),有甲减病史。家族中母亲和外婆都有COPD。治疗方面很遗憾,患者发病后仍持续吸烟,治疗效果不明显。

发布于 15-03-07 14:26

1 个评论

发送