下载或打开 医联APP 查看完整评论
立即下载
打开APP
打开应用
这个肾是怎么了?
彭医师
中山大学附属第三医院
主诉 病史
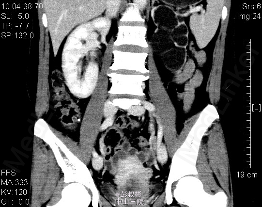
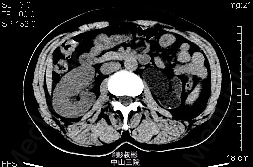
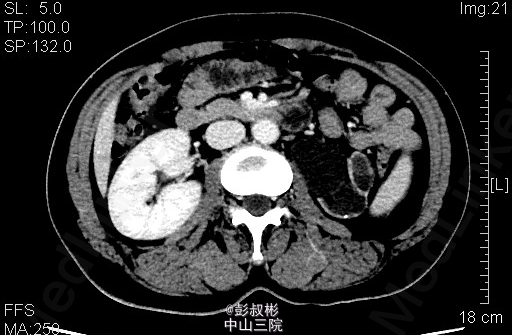
患者女性,47岁,左腹部胀痛1月余。既往有“双肾结石”病史10余年。其余见双肾CTU。根据检查判断肾的病变?
发布于 15-03-07 10:37
医联推荐你看
看看这个骨盆怎么了?
这个怎么解决
共
9
个评论
查看更多评论
发送
0