下载或打开 医联APP 查看完整评论
立即下载
打开APP
打开应用
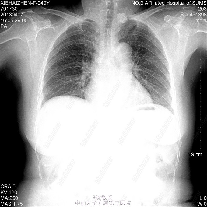
从这张胸片中你看出了什么端倪没?——大家来找茬。。。
徐医师
广州市花都区人民医院
主诉 病史
发布于 15-03-04 19:46
医联推荐你看
大家都会看的胸片
看这张胸片,你的诊断是什么。。。
你能看出这张常规正畸头侧位片中的玄机吗?
共
14
个评论
查看更多评论
发送
0