下载或打开 医联APP 查看完整评论
立即下载
打开APP
打开应用
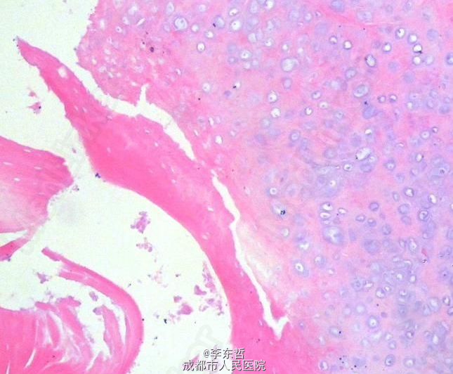
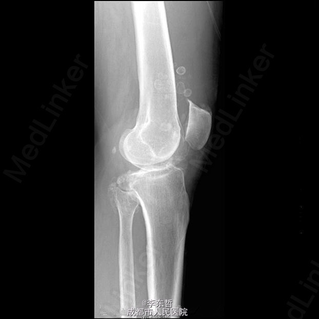
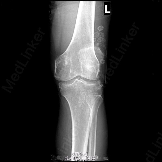
滑膜骨软骨瘤病
李医师
成都市武侯区第一人民医院
软骨瘤
骨瘤
骨软骨瘤
主诉 病史
患者男性,43岁,自述关节疼痛、肿胀和活动受限数年,偶可触及游离体,常出现关节交锁;
发布于 15-02-28 15:32
医联推荐你看
滑膜软骨瘤
滑膜软骨瘤病
踝关节滑膜软骨瘤病
共
1
个评论
查看更多评论
发送
0