下载或打开 医联APP 查看完整评论
立即下载
打开APP
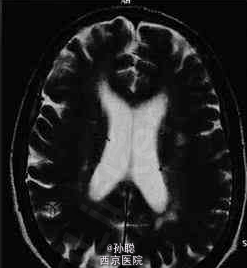
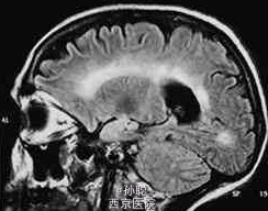
患者女性,31岁,教师,因有房屋旋转感和行走不稳2天就诊。房屋旋转感呈持续性,平卧时可部分缓解。这些症状使患者无法正常工作。发病无明显诱因,无其他不适,无恶心和头痛。自觉听力正常,无耳鸣。无其他神经系统症状的主诉。目前仅服用口服避孕药。患者在3个月前度假时用左眼照相有困难。该症状在1周内自发缓解,患者未寻找原因。最近,尤其是在穿衣服时右手发生轻度震颤,但由于患者是左利手,故未造成大碍。 体格检查:一般情况可。无发热,心血管检查正常。视诊耳道和鼓膜无异常,临床检测无听力受损表现。右眼视力6/6,左眼视力6/9。双侧瞳孔对称,左眼瞳孔传入缺陷。眼底镜检查示左眼视盘较右眼苍白。眼外肌运动检查发现,当看向右侧和垂直凝视时出现眼球震颤。眼球震颤与头位无关且不易疲劳。其他颅神经检查正常。肌力、肌张力和肢体反射均正常。但指鼻试验示右上肢呈意向性震颤,右手快速轮替运动较左手差。其他协调功能和感觉功能正常。 脑脊液(CSF)检查发现,CSF中IgG水平升高,IgG在电泳中分解成寡克隆带。脑脊液检查显示单核细胞计数和蛋白质中度升高,寡克隆带阳性。

