下载或打开 医联APP 查看完整评论
立即下载
打开APP
打开应用
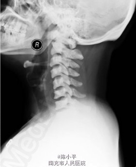
氟骨症一例
陈医师
南充市中心医院
氟骨症
主诉 病史
患者女,37岁,颈部不适检查时发现,加拍骨盆片,可见纱布眼状骨纹理,未见“同心环”影及腰椎“夹心蛋糕”征,结合职业史,诊断为氟骨症。
发布于 15-02-11 00:23
医联推荐你看
氟斑牙瓷贴面一例
石骨症一例
氟斑牙一例
共
0
个评论
暂无评论
发送
0