下载或打开 医联APP 查看完整评论
立即下载
打开APP
打开应用
胃石症一例
李医师
四川大学华西医院
主诉 病史
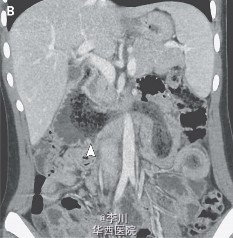
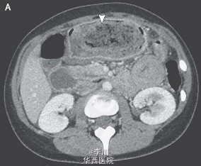
一位17岁的女孩因呕吐、腹痛48小时被送入急诊,该女孩患有自闭症和嗜毛癖。血常规和新陈代谢无特殊异常表现。腹部CT发现了端倪:
发布于 15-02-05 20:53
医联推荐你看
石骨症一例
胃石
胃石症
共
3
个评论
查看更多评论
发送
0