下载或打开 医联APP 查看完整评论
立即下载
打开APP
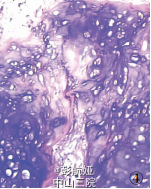
患者女性,37岁。因渐进性头痛2年、右侧头面部及肢体麻木3个月入院。查体:患者意识清晰,双侧视乳头水肿,右侧头面部及肢体感觉减退,右上肢及下肢肌力4-5 级。CT检查,左顶叶见一高密度影肿块,9.5cm*7cm*6.5cm,边缘清楚,中央可见钙化及囊性变(图1),肿块体积巨大,脑中线结构右移(图 2),MRI 显示肿块呈不均匀长T1、长T2信号,GD-DTPA 延迟期有强化效应。CT、MRI 诊断:左顶叶占位,性质待定。临床以左顶叶肿瘤行手术切除治疗,术中见肿块位于中央沟内,与大脑镰相连,大脑镰右移,左顶叶受挤压显著,肿块质硬,活动可,与脑组织无粘连,予肿块完整切除,标本送病理检查。术后患者头面部及肢体感觉恢复,肢体肌力增加,在随访中。





