打开应用

种植体固位覆盖义齿修复先天性牙缺失一例

王医师   空军军医大学口腔医学院
牙缺失

主诉 病史

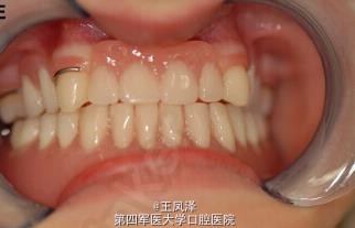
先天性少牙和先天性无牙的青少年患者临床上非常少见,但是由于牙齿的缺失会给青年患者带来诸如:咀嚼、营养、美观、心理等一系问题,因此,如何解决青少年牙齿缺失的问题显得十分重要。

发布于 15-01-29 19:25

6 个评论

发送