打开应用

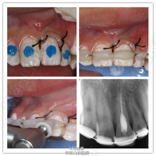
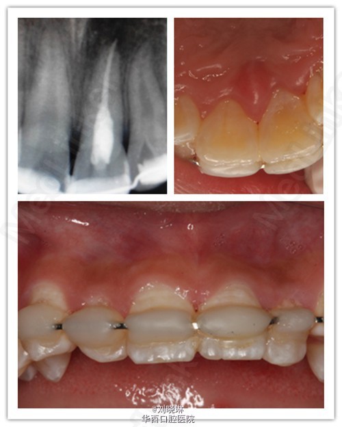
离体30小时的牙齿再植术及追踪观察

刘医师   四川大学华西口腔医院

主诉 病史

病人14岁,外伤导致上前牙脱落,患牙离体时间超过30小时。给患者讲明离体时间过长,患牙又未做正确方式保存,再植成功率低,患者要求试保留再植,术前签知情同意书。

发布于 15-01-15 00:05

1 个评论

发送