下载或打开 医联APP 查看完整评论
立即下载
打开APP
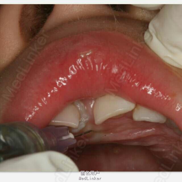
患者、王xx、4岁、男孩。主诉:上前牙松动,要求治疗。现病史:一个月前、患儿不慎碰墙,导致上前牙受伤,当时未做任何处理,最近两天,患儿感觉上前牙松动,轻微疼痛,遂来我院儿牙科就诊。专科检查:右上乳Ⅰ松动一度。右上乳Ⅰ近中侧有一畸形牙尖。x线根尖片:右上乳Ⅰ根尖1/3折断,其近中有一多生牙,该多生牙压迫右上乳Ⅰ近中根面吸收。同时发现左上乳Ⅰ也有一颗多生牙。诊断:(1)右上乳Ⅰ根折。(2)多生牙。处理:1)建议拔除右上乳Ⅰ和其下方多生牙,待患儿到能配合的年纪再拔除左侧乳Ⅰ下方的多生牙。2)同时拔除右上乳Ⅰ和两枚多生牙。给患儿目前讲明两种方案的利弊,患者选择第二套方案。 术前建议患儿母亲做全麻拔除。患者母亲不同意全麻,害怕对孩子大脑有影响。局麻可能因患儿配合欠佳,导致手术终止。患者同意可能出现的意外导致手术终止。签手术知情同意书。







