下载或打开 医联APP 查看完整评论
立即下载
打开APP
打开应用
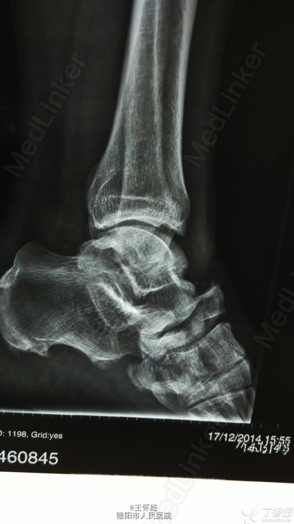
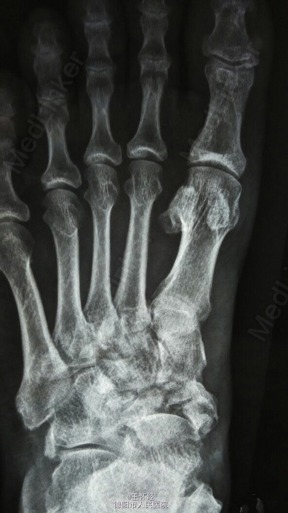
舟骨骨折
王医师
德阳市人民医院
骨折
主诉 病史
患者男性,49岁,外伤后急诊入院,发现舟骨骨骨折,行手术治疗
发布于 15-01-01 19:18
医联推荐你看
腕舟骨骨折
舟骨骨折
舟骨骨折
共
0
个评论
暂无评论
发送
0