下载或打开 医联APP 查看完整评论
立即下载
打开APP
打开应用
灾难性胃肠积气
邱助教
四川大学华西医院
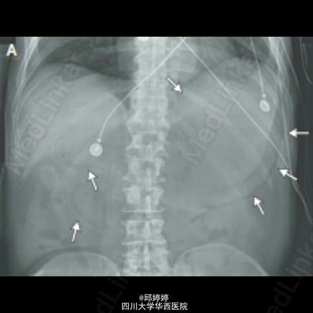
主诉 病史
患者,老年男性,胰腺癌晚期,腹痛,呕吐12h,触诊腹部压痛,板状腹。平片(图1)示腹腔严重积气,CT(图2-3)示胃肠周围,门静脉积气。患者拒绝治疗,48h后死亡。
发布于 14-12-29 23:44
医联推荐你看
急性胃肠炎
急性胃肠炎
胃十二指肠积气
共
1
个评论
查看更多评论
发送
0