打开应用

极具挑战性的异位 Cushing’s 综合征一例

宋医师   四川大学华西医院

主诉 病史

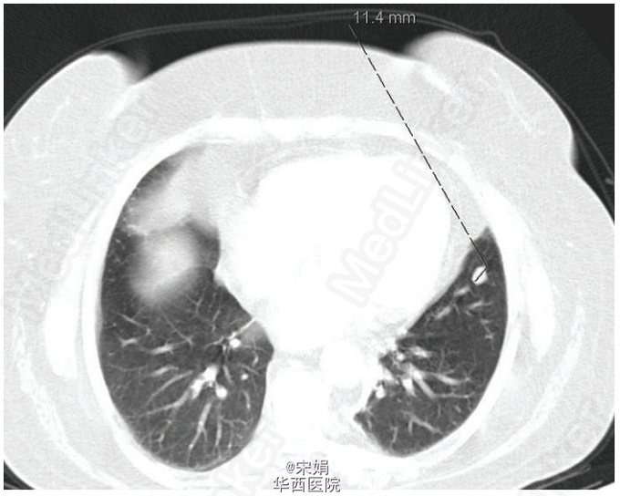
48岁女性,该患者高糖皮质激素表现病史长达 1 年,实验室检查提示为异位 ACTH 所致的 Cushing’s 综合征,各种影像学检查除肺内小结节外无阳性发现,而肺内小结节的功能性检查又无异常发现。最终经过肺叶切除病理证实为肺类癌。

发布于 14-12-27 14:14

3 个评论

发送