下载或打开 医联APP 查看完整评论
立即下载
打开APP
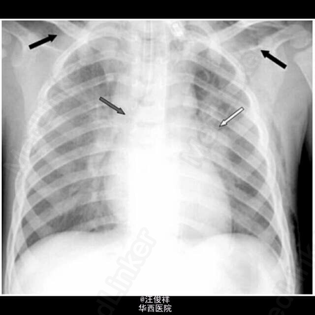
以皮下气肿为症状的结核病很罕见,在儿童中往往见于粟粒性肺结核的病人。 一个26月大的男孩子因为颈部,面部,躯干上半部分肿胀数小时数入院。触诊发现皮下气肿,呼吸系统检查发现左胸壁的爆裂音,但是没有纵膈偏移。胸部平片示:左肺门扩大伴有纵膈积气和广泛的皮下气肿。支气管镜检查排除了异物吸入的可能,但是显示左主支气管被干酪样物质部分阻塞和肉芽肿的明显表现。增强CT示皮下气肿和纵膈积气,双侧肺门淋巴结病变穿透了邻近组织,左主支气管壁严重受损,空气进入皮下和纵膈。结核菌素试验和支气管和胃液PCR实验均证实结核杆菌阳性。给予抗结核治疗后病情好转。

