打开应用

急性胰腺炎收治系列

叶医师   四川大学华西医院

主诉 病史

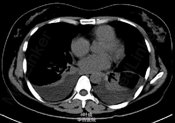
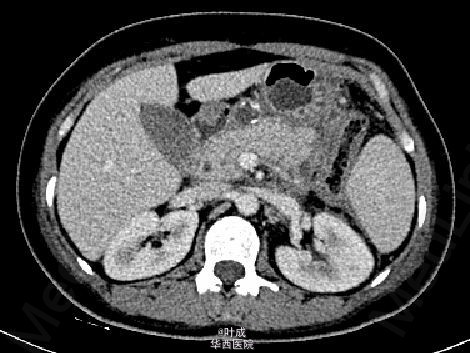
患者女,40岁,因“反复腹痛5+年,复发加重1+天”入院。急诊查血清AMS 2349 IU/L、 LIP 6647 IU/L,腹部CT平扫示胰腺肿胀,胰周渗出,腹膜炎征象。下为起病四天后复查增强CT影像。

发布于 14-12-18 17:29

2 个评论

发送