下载或打开 医联APP 查看完整评论
立即下载
打开APP
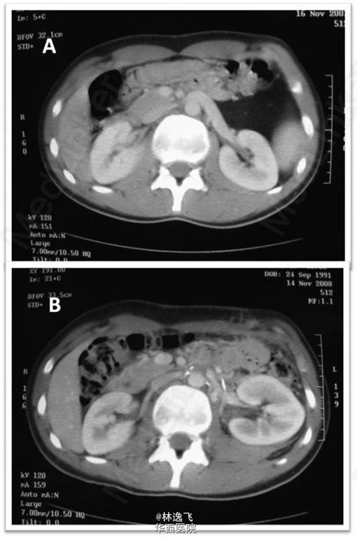
患者是17岁的男性青年患者,主诉左腰部钝痛数月,偶放射至左腹。无异常病史,麻醉可缓解疼痛。后疼痛频繁和加重,伴有肉眼血尿。不伴发热,且血流动力学稳定。仅有一次,由于诊断贫血,给与输注2U红悬。 辅助检查,患者有轻微的左侧精索静脉曲张。查血示低血红蛋白,尿常规示:蛋白尿。超声和尿路造影无特殊。腹部和骨盆的CT示,左肾静脉扩张。左肾可见一巨大脂肪瘤,加大的肾静脉的角度,使其穿过肠系膜上动脉的后面。(图1) 确诊后,手术切除脂肪瘤,缓解肠系膜上动脉对左肾静脉的压迫,将左肾静脉转位直接进入下腔静脉。 转自BJUI
