下载或打开 医联APP 查看完整评论
立即下载
打开APP
打开应用
外伤冠折后的修复一例
黄医师
四川大学华西口腔医院
冠折
冠折
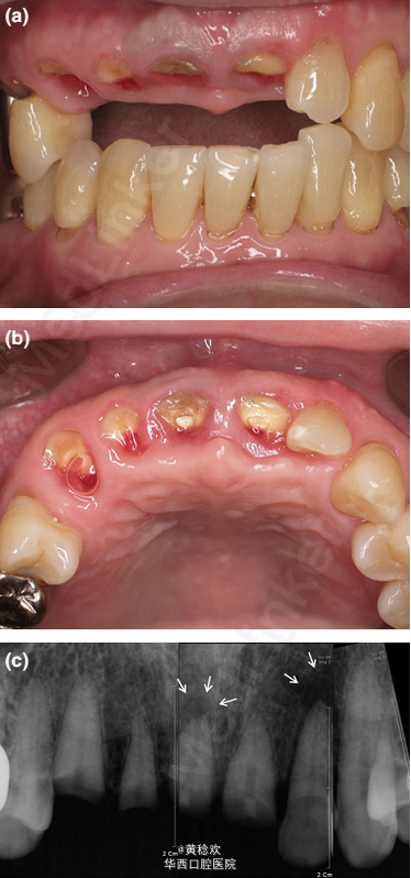
主诉 病史
患者60岁,男性,6周前上颌前牙区外伤冠折(颈缘),在当地牙科诊所已行牙髓切断术。
发布于 14-11-12 11:16
医联推荐你看
外伤冠折的修复
外伤冠折氧化锆修复一例
外伤致冠折,原冠粘接修复一例。
共
4
个评论
查看更多评论
发送
0