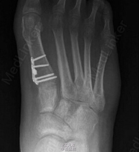
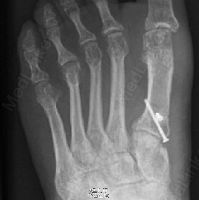
拇外翻是导致成人和青少年足部疼痛和畸形的常见原因。对不伴有严重脱位和关节炎的跖骨远端关节角异常合并跖骨近端关节面固有角增大的中、重度拇外翻畸形,第一跖骨近端截骨术或跖跗关节融合术可以有效纠正拇外翻畸形。 近端 V 形截骨术是一种常见的手术方式,可以有效的纠正角度和提高 AOFAS 评分。近端 V 形截骨术由 Sammarco 在 1929 年首次进行描述,近些年,一些学者提出应将近端 V 形截骨术联合螺钉固定与其他近端截骨方式进行对比。因为,近端 V 形截骨术在操作上存在一定的难度,并且存在一定程度的失败率。 而第一跖骨楔形截骨术可以在截骨后可以进行定制钢板固定,在稳定效果上可以更胜一寿。其操作性较 V 形截骨术更为简单。为了验证第一跖骨近端楔形截骨术与 V 形截骨术在治疗拇外翻的效果,目前 Mark 等人采取前瞻性的随机对照研究,将两者的最新研究结果发表于近期的 JBJS。该研究结果显示,在对于患者的临床结果评估上,这两种方法没有显著差异。此外,还发现第一跖骨楔形截骨术可以延长第一跖骨的长度,而 V 形截骨术正好相反,会影响第一跖骨出现短缩。跖骨近端楔形截骨术,术后跖间角从术前 14.8°±3.2°改变至术后 9.1°±2.9°(P<0.05),而 V 形截骨术使跖间角从术前 14.6°±3.9 改变至术后 11.3°±4.0°(P<0.05)。手术过程所需时间,两者相似楔形截骨术需 67.1±16.5 分钟,V 形截骨术需要花费 69.9±18.6 分钟(P=0.51)。 最终该研究者认为跖骨近端楔形截骨术与 V 形截骨术在影像学结果和术后患者疼痛、满意度以及功能上都具有可比性。值得注意的是两个截骨术,对于患肢的长度结果存在差异。因楔形截骨术在操作技术上,相对较为简单,所以临床医生采用率相对高。

