下载或打开 医联APP 查看完整评论
立即下载
打开APP
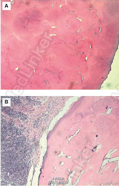
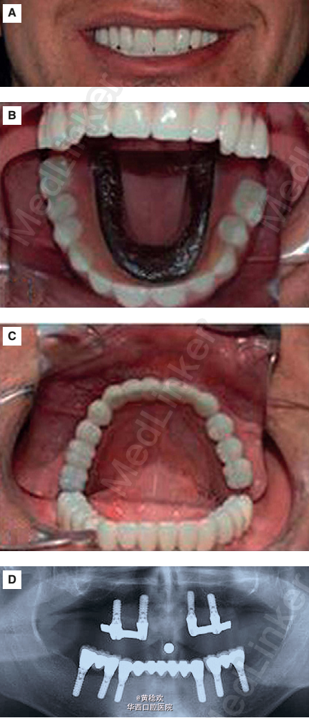
牙本质发育不良是一种罕见的常染色体显性遗传疾病(发病率1:100000),牙本质形成受阻,在临床上通常表现为临床牙冠正常,但通过放射检查可见牙根形态不良甚至没有牙根,无髓室腔,根周有无任何诱因的透射影。牙本质发育不良可分为I型和II型,前者更常见,表现为有乳牙和恒牙,牙冠正常,但牙根退化或无牙根,在牙釉质牙本质界可见一水平的放射投射影线,根尖周有透射影或囊肿。II型特点为牙根形态轮廓正常,部分牙髓闭塞,不定形的牙本质可形成髓石,长梗漏斗样牙髓室腔,线状根管,通常无根尖周透射影。因为牙齿缺乏正常牙根形态,很难通过临床上常规的操作将其移动排齐。 今日为大家分享一例因为牙本质发育不良I型的病人行全口种植修复的案例。




