打开应用

左上前牙缺失种植修复

陈医师   空军军医大学口腔医学院
牙缺失

主诉 病史

患者,男,46岁, 主诉:左上前牙因牙周炎缺失3个月,要求种植修复。 现病史:患者因牙齿松动不能保留于3个月前拔除左上前牙,曾行活动义齿修复,自觉不适,现因影响美观到科就诊要求种植修复。 既往史:患者平素体健。主诉无心脏病、糖尿病、高血压等全身系统性疾病;自诉无肝炎、结核等传染性疾病;自诉无青霉素类、头孢类药物过敏史。自诉有抽烟史(15支/天)。

查体 辅查

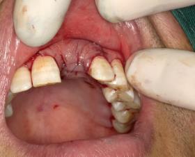
检查: 1. 口腔检查 全口咬合关系基本正常。21缺失,缺失区牙槽骨丰满度欠佳,牙龈状况一般,为厚龈生物型,全口牙龈普通退缩约1-2mm,临床牙冠偏长,牙龈乳头缺损;缺牙区邻牙未见明显倾斜,缺牙颊舌向宽度约5mm。患者为轻度氟斑牙,牙冠颈部为B4色,体部基底色为A3色,颈1/3与牙冠体部分界明显。其主要特征为牙面可见少量白垩色条纹。牙石及色素(++),牙齿轻度磨耗;开口型正常,开口度约三横指,笑线低。 2. 术前影像学检查 CBCT显示:21牙缺失。骨质III类。近、远中牙槽间隔顶至邻接点距离为6mm。牙槽嵴距离鼻底为20.43mm。缺失牙牙槽嵴宽度约4mm。

诊断 处理

诊断:1、21牙缺失;2、慢性牙周炎 治疗计划 1、 诊治牙周黏膜疾病,行全口牙洁治。 2、 21牙行种植修复(考虑GBR技术) 处置: 21牙种植体植入术+GBR 患者入手术室,取仰卧位,术区行利多卡因+布比卡因阻滞麻醉,碧兰麻于21牙区行浸润麻醉。常规消毒铺单,待麻药显效后,于21牙槽嵴顶做近远中切口,剥离术区黏骨膜,11远中以及22远中做唇侧附加切口。显露术野,见22牙槽窝尚未完全骨充填,唇侧骨量不足。以刮匙刮除局部肉芽组织后,生理盐水冲洗冷却下1.4mm直径球钻确定种植位点,先锋钻确定种植体植入方向。3.5-4.3mm扩孔钻逐级扩大种植窝洞,收集钻头内残留的自体骨备用。用4.3mm攻丝钻在骨壁上攻丝,再用扭矩扳手将种植体旋入。旋上覆盖螺丝,种植体唇侧颈部可见骨缺损区,在骨缺损区周围用小球钻制备多个营养孔。并在唇侧黏膜瓣底部做减张切口,切断黏骨膜,制备复合瓣。收集术区血液,将自体血与骨替代材料混合覆盖于骨缺损区。修剪生物屏障膜至合适的大小和形状,将屏障膜覆盖于骨替代材料上,用自体血液湿润屏障膜至良好贴附状态。无张力关闭牙槽嵴顶切口以及附加切口。常规止血,术毕。 6个月后行种植修复,安置修复基台,戴入修复体后可见龈乳头未安全再生。

发布于 18-08-27 17:42

0 个评论

暂无评论
发送