打开应用

舌侧异位阻生齿拔除

吕医师   郑医生口腔

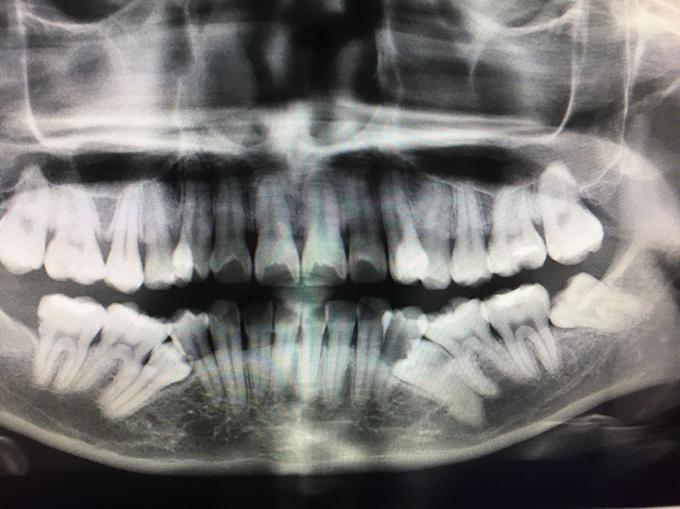
主诉 病史

下颌两侧后牙舌侧异位阻生二十年 二十多年前下颌两侧后牙舌侧异位阻生,未进行修复,食物嵌塞明显要求拔除

查体 辅查

35,45口内见很小颊侧尖,其余未见 X线片示35.45阻生,余牙暂未见异常

诊断 处理

下颌舌侧阻生齿 建议拔除

发布于 17-02-23 06:41

13 个评论

发送